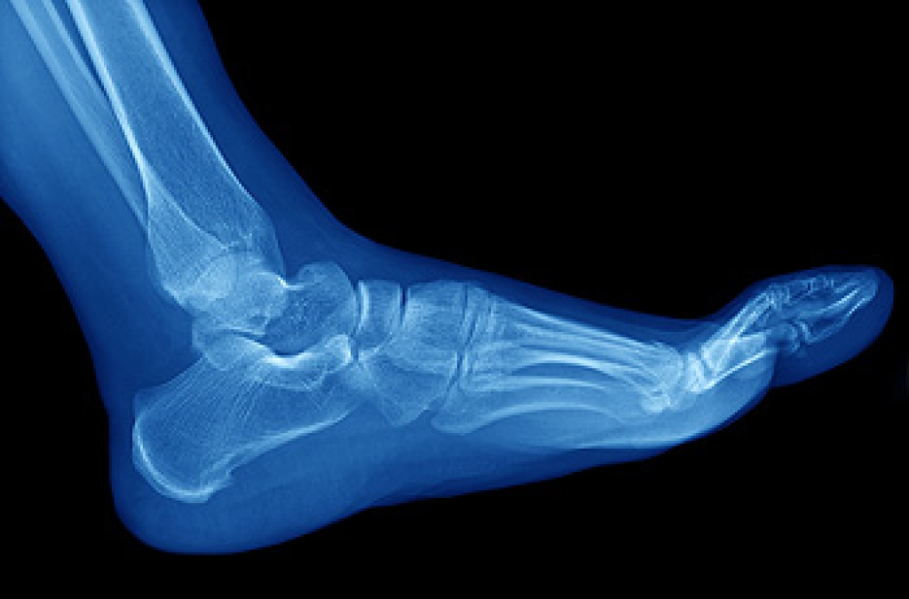
Stress fractures develop when a bone that’s constantly under stress eventually weakens. It typically occurs on the outside of the bone and happens due to repetitive motion. Many professional athletes and runners develop this condition, as overuse of the bones in the foot is common. The way the foot is structured may be another cause, as having flat feet or higher arches may be a contributing factor in developing stress fractures. When overdoing a specific activity, the risk is high for developing these fractures. There may not be physical signs and symptoms from the fracture, but when the activity resumes, pain is often felt. An x-ray is used to determine exactly where the fracture is. Recovery comes from resting the foot and being careful not to put stress on the bones. Occasionally a medical boot is worn to keep the fracture from worsening, in addition to engaging in physical therapy. Please seek the advice of a podiatrist if you feel you have a stress fracture in the foot or ankle.
Activities where too much pressure is put on the feet can cause stress fractures. To learn more, contact Dr. Paul Drucker from NYC Foot Care, PC. Our doctor can provide the care you need to keep your pain free and on your feet.
Dealing with Stress Fractures of the Foot and Ankle
Stress fractures occur in the foot and ankle when muscles in these areas weaken from too much or too little use. The feet and ankles then lose support when walking or running from the impact of the ground. Since there is no protection, the bones receive the full impact of each step. Stress on the feet can cause cracks to form in the bones, thus creating stress fractures.
What Are Stress Fractures?
Stress fractures occur frequently in individuals whose daily activities cause great impact on the feet and ankles. Stress factors are most common among:
- Runners
- People affected with Osteoporosis
- Tennis or basketball players
- Gymnasts
- High impact workouts
Symptoms
Pain from the fractures occur in the area of the fractures and can be constant or intermittent. It will often cause sharp or dull pain with swelling and tenderness. Engaging in any kind of activity which involves high impact will aggravate pain.
If you have any questions please contact our offices located in 70th Street Manhattan, 60th Street Manhattan, Jamaica, Queens, Plainview, NY and Fair Lawn, NJ . We offer the newest diagnostic and treatment technologies for all your foot and ankle needs.


